TASCLのマニュアルについて
以下のマニュアルは、TACSL 6WELLまたはTASCL DISHを想定したものです。
標準的なプロトコールですが,アプリケーションに応じて,調整してください。
TASCL MESHはマイクロウェルプレートを任意の器材・ゲルなどと組み合わせて使う前提のため、マニュアルのご用意がありません。必要に応じてこのマニュアルをご参照のうえ、応用していただければと存じます。
TASCLは現状、研究用途としてお使いいただけます。
TASCLで培養した細胞塊をヒトに投与することは、原則認められていません。
※臨床研究等の場合はご相談ください。
以下は、TASCL 6WELLを想定して記載します。TASCL DISHの場合は、「TASCL 6WELL」を「TASCL DISH」と置き換えて、また「6穴プレート」を「ディッシュ」と置き換えてご認識ください。
準備するもの
クリーンベンチ/安全キャビネット内に用意するもの
・TASCL 6WELL(6穴プレートにセットされた状態)
・ピペット
・気泡除去用のピペット(例:100~1000μl、またはシリンジなど水流で気泡を除去する器材)
・培地
・滅菌水
・余分な滅菌水や培地を回収する容器
・細胞懸濁液(細胞播種をする場合)
・回収した細胞塊を入れる容器(細胞塊を回収する場合)
手順1.TASCLの上から滅菌水を滴下し気泡の有無を確認する
滅菌水2ml程度をTASCLのマイクロウェルの上から滴下し、マイクロウェル全体に行き渡らせます。マイクロウェル内に気泡の有無を確認します。
気泡がある場合は気泡が光に反射するため、マイクロウェル内が白っぽく見えます。
気泡がTASCLのマイクロウェル(正方形)全体の5%以上に認められる場合,または気泡を除去したい場合は、次の手順2に進みます。気泡がなく気泡を除去しなくてよい場合は手順3に進みます。
▲気泡がある状態 白っぽいウェルが気泡(この場合95%程度に気泡がある)
TASCLに気泡がない状態
▲気泡がない状態 マイクロウェル内が白っぽくない
手順2.マイクロウェル内の気泡を除去する
A、B、Cのいずれかの方法で気泡を除去します。
A.インキュベータで気泡を除去する
1の工程で滅菌水(または培地)を入れたままのTASCL 6WELLを、37℃のインキュベータに30分ほど安置します。30分後,TASCL 6WELLをインキュベータから取り出します。マイクロウェル内の気泡の存在を確認し、気泡がほとんど消滅していたら(気泡がマイクロウェル全体の5%以下になったら)手順3に進みます。
マイクロウェル内に気泡が多く残っている場合は,B、Cの方法をお試しください。
B. ピペットの水流で気泡を除去する
滅菌水をマイクロウェル上に継ぎ足して(カルチャーインサートの半分程度の高さまで)ピペットで滅菌水を吸い、気泡に強く吹きかけて、水流で気泡を除去します。(ピペットの代わりに使い捨てのシリンジなどを使っても構いません)
マイクロウェル内の気泡がほとんど消滅したら(気泡がマイクロウェル全体の5%以下になったら)手順3に進みます。
まだ気泡が多く残っている場合は、Cもお試しください。
C. 遠心分離機にかけて気泡を除去する
1の工程で滅菌水(または培地)を入れたままのTASCL 6WELLを、 フタをして遠心分離機にかけます。2000RPMで5分間ほど遠心すると、気泡が除去できます。マイクロウェル内の気泡がほとんど消滅したら(気泡がマイクロウェル全体の5%以下になったら)手順3に進みます。
手順3.細胞懸濁液の調製
【マイクロウェルが621の場合(TASCL 6WELL 600/TASCL DISH 600)】
培地0.5mlに、マイクロウェル1個あたりに注入したい細胞数 × 621 の細胞を懸濁します。
【マイクロウェルが1020の場合(TASCL 6WELL 1000/TASCL DISH 1000)】
培地0.5mlに、マイクロウェル1個あたりに注入したい細胞数 × 1020 の細胞を懸濁します。
マイクロウェルに入る細胞数を正確にコントロールするものではありませんが、懸濁液をまんべんなくマイクロウェル全体に播種することで、確率的に各マイクロウェルに同じぐらいの細胞数が入ることになります。
手順4.細胞播種
マイクロウェル内や6穴プレート上に残っている滅菌水をピペットで吸引除去し、マイクロウェルと6穴プレートを培地でリンスして、培地を吸引除去します。マイクロウェル内に2ml程度の培地を注入します。
手順3で調製した細胞懸濁液をマイクロウェル全体にまんべんなく行きわたるよう滴下し、細胞がマイクロウェルの底に沈降するまで待ちます。
細胞の沈降は細胞および培地の比重に依存しますので、都度、倒立顕微鏡で確認して頂くことを推奨します。多くの場合、細胞は30分以内で沈降します。
手順5.培地の追加
カルチャーインサートの隙間から,カルチャ―インサートの外側(6穴プレート上)に培地3.0mlを加えます。
培地の蒸発によってTASCLの表面が乾かないように、マイクロウェル内の液面とカルチャーインサートの外側(6穴プレート上)の液面が同じ高さになるように、マイクロウェル内とカルチャーインサートの外側に培地を少しずつ追加して調整します。
今後、培地が蒸発して減少した場合も、同様の方法で培地を追加します。
※カルチャーインサートの外側(6穴プレート上)の培地の液面が、マイクロウェル上の培地の液面と同じ高さ以上になるよう留意します。外側の培地の液面が低いと、長時間培養時には、マイクロウェル上の培地がサイホン効果により流出する恐れがあります。
※培地を温める必要がある場合は、事前に10分程度インキュベータに入れるなどしてください。
6.培地交換
通常は,カルチャ―インサートの外側の培地のみ全量交換します。マイクロウェル上の培地は、カルチャ―インサートの多孔質膜を介して徐々に新しい培地と交換されます。
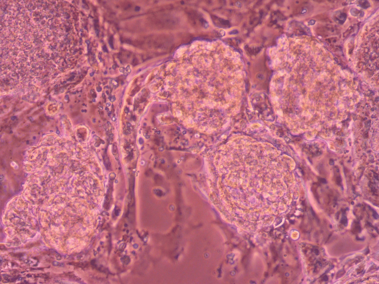
7.細胞塊回収
十分量の培地をマイクロウェル上に加え、ピペッティングにより、細胞塊を浮遊させ、培地と共に回収します。
なお,マイクロウェル全体の正方形の角に近い部分は、細胞塊が回収されずに残りやすいです。そのため、培地を加えてピペッティングして細胞塊を回収することを何度か繰り返します。
(ピペッティングで回収できない場合)
・細胞塊がマイクロウェル側に接着している場合、TASCLをピンセット等で把持して、インサートから剥がし、緩衝液などが入った6ウェルプレートや遠沈管の中でピペットの水流により落とします。
・細胞塊がカルチャ―インサートの表面に接着している場合、ASCLをピンセット等で把持してカルチャ―インサートから剥がし、カルチャ―インサート表面の細胞塊をスクレーパーなどでこすり落とします。
以上です。ご不明点はお問い合わせください。
【修正履歴】
2022.11.8 気泡除去の方法としてピペットの水流で除去する方法を2-2として独立させた.
またエタノールを使用する方法は削除した.
2022.10.25 気泡除去の方法として2-2に遠心分離機にかける方法を追加.
2022.10.18 気泡除去で用いる道具としてオートピペットをピペットに変更
2022.10.11 手順1では培地の代わりに滅菌水を使うよう修正.
手順2ではピペットの先端でマイクロウェルをひっかいて
気泡を除去する際に、マイクロウェル部分がカルチャーインサートから
外れてしまう場合があることが判明したため、この方法を回避。
気泡を除去する方法として、インキュベータに入れるか、
オートピペット等の水流で気泡を除去するか、エタノールを使う方法に改訂.
2021.07.09 手順3にTASCL(6穴プレートごと)をインキュベータに入れる
手順を削除.
手順5の注意事項に培地を温める際の注意事項を※で追加。
2021.06.04 手順3にTASCL(6穴プレートごと)をインキュベータに入れる
手順を追加.
手順2,3,4,5に、気泡を除去した培地を抜いて、細胞播種後、
培地を追加・調整する内容を修正.
2021.05.31 2021.01.29、2021.03.10、2021.04.16の修正点を見直し、
TASCLの気泡除去の方法として、
ピペットのチップの先端でこする、次の1~2 を追加。
「1.TASCLの上から培地を滴下し気泡の有無を確認する」
「2.TASCLのマイクロウェル内の気泡をピペットのチップの先端で除去する」
これにより蒸留水を個別に用意する必要が無くなりました。
2021.04.16 2021.03.10に修正した箇所の「純水」を「蒸留水」に修正
2021.03.10 2021.01.29に新規追加した「1.TASCLを純水に浸透させる」を
「1.滅菌済み純水をTASCLに吹きかけて気泡を追い出す」と
「2.純水を吸い取り培地で置換する」に変更しました。
「2」の追加により旧工程 「TASCLをリンスする」を削除
2021.01.29 「1.TASCLを純水に浸透させる」の工程を新規追加しました。
2019.12.26 「3.6穴プレートへの培地添加」「4.細胞播種」
「5.培地量の調整」を修正または追加しました。
TASCL Manual in English
About This Manual
This manual is intended for use with TASCL 6WELL or TASCL DISH.
It describes the standard protocol, but please adjust as necessary depending on your application.
Note: TASCL MESH is designed to be used in combination with arbitrary equipment or gels (such as micro-well plates) and therefore does not have a dedicated manual. If necessary, please refer to this manual and adapt the procedures accordingly.
The following instructions are written with TASCL 6WELL in mind. When using TASCL DISH, replace “TASCL 6WELL” with “TASCL DISH” and replace “6-well plate” with “dish.”
Currently, TASCL series products are available for research use only. Administration of cell aggregates cultured with TASCL series products to humans is not permitted, except for treatments or clinical studies conducted in accordance with the Act on the Safety of Regenerative Medicine and related regulations.
If you are considering clinical studies in humans, please consult with us.
Materials to prepare inthe clean bench or the safety cabinet
- Packaged TASCL 6WELL / TASCL DISH
- Pipettes
- Pipette (100–1000 μl) or syringe for bubble removal by water flow (Not necessary if bubbles are removed using an incubator or centrifuge; see Step 2)
- Culture medium
- Sterile water
- Waste container for excess sterile water or medium
- If seeding cells: cell suspension (see Step 3)
- If harvesting aggregates: a container for the collected aggregates
Step 1. Check for Bubbles
This step is optional. You may skip directly to Step 2.
Add about 2 ml of sterile water onto the TASCL 6WELL, covering all microwells.
Check for the presence of bubbles inside the microwells.
If bubbles are present, they will reflect light, making the microwells appear whitish (see photo example).
If bubbles occupy more than ~5% of a microwell, proceed to Step 2.
If no bubbles are present or bubble removal is unnecessary, proceed to Step 3.
Step 2. Remove Bubbles from Microwells
Choose one of the following methods (A, B, or C):
A. Removal by Incubator
Keep TASCL with sterile water added (from Step 1) in a 37°C incubator for ~30 minutes.
After incubation, confirm bubble reduction.
If bubbles occupy less than 5% of the microwell, proceed to Step 3.
If bubbles remain, try method B or C.
B. Removal by Water Flow (Pipette/Syringe)
Add sterile water (up to half the insert height).
Use a pipette to aspirate sterile water and eject forcefully against the bubbles, removing them by water flow. (A disposable syringe may also be used.)
If bubbles are reduced to <5% of the microwell, proceed to Step 3. Otherwise, try method C.
C. Removal by Centrifugation
Place TASCL 6WELL/DISH (with sterile water added from Step 1) in a centrifuge with the lid on.
Centrifuge at 2000 RPM for ~5 minutes.
If bubbles are reduced to <5%, proceed to Step 3.
3.Prepare the cell suspension
For 621 microwells (TASCL 6WELL 600 / TASCL DISH 600):
Suspend desired number of cells per microwell × 621 in 0.5 ml medium.
For 1020 microwells (TASCL 6WELL 1000 / TASCL DISH 1000):
Suspend desired number of cells per microwell × 1020 in 0.5 ml medium.
Note: This method does not guarantee precise cell counts per microwell, but by distributing evenly across all microwells, similar numbers of cells will enter each microwell probabilistically.
Step 4. Cell Seeding
Aspirate and remove residual sterile water from microwells and outside the insert (6-well plate).
Rinse both microwells and plate with medium, then aspirate and remove.
Add ~2 ml of fresh medium into the microwells.
Dispense the prepared cell suspension evenly over the microwells, and allow cells to settle onto the mesh bottom.
Since sedimentation depends on cell type and medium density, it is recommended to confirm under an inverted microscope.
In most cases, cells will settle within 30 minutes.
Step 5. Addition of Medium
Add 3.0 ml of medium to the space outside the culture insert (between insert and 6-well plate).
To prevent drying of microwell surfaces by evaporation, ensure that the liquid levels inside the microwells and outside the insert are the same height. Adjust by gradually adding medium both inside and outside.
When medium volume decreases due to evaporation, replenish in the same manner.
Ensure the liquid level outside the insert is at least equal to that inside the microwells.
If the outside level is lower, a siphon effect may cause microwell medium to flow out during long-term culture.
Pre-warm medium to 37°C in an incubator (~10 minutes) if necessary.
Step 6. Medium Exchange
When exchanging medium, normally replace only the outside medium (between insert and 6-well plate).
Aspirate and replace all medium from the plate bottom via the gap between the insert and plate using a pipette.
Adjust volumes so that the liquid level inside the microwells matches the level outside.
Medium inside TASCL will gradually be exchanged with fresh medium through the porous insert membrane.
Step 7. Collection of Cell Aggregates
To harvest aggregates, add sufficient medium onto TASCL and gently pipette to detach aggregates, then collect together with medium.
Note: Aggregates may remain near the corners of square microwells. In such cases, repeat pipetting with added medium to collect aggregates.
Alternative methods if pipetting does not work:
- If aggregates adhere to TASCL: grasp TASCL with forceps, detach it from the insert, and release aggregates using pipette water flow into a 6-well plate or centrifuge tube containing buffer.
- If aggregates adhere to the culture insert surface: grasp TASCL with forceps, detach it from the insert, and scrape aggregates off the insert surface using a scraper.
End of manual.
For inquiries, please contact:
Revised on Sep. 13, 2025
TASCLのアプリケーションノート
1. iPS細胞培養ディッシュコート方法(通常)
2. iPS細胞培養ディッシュコート方法(簡単)
3. iPS細胞解凍法(緩慢法)→増殖培養開始方法
4. iPS細胞凍結方法(緩慢法)
5. iPS細胞凍結方法(急速法)
6. 脂肪組織幹細胞軟骨細胞分化誘導法
7. iPS細胞心筋分化誘導法
(クリックで拍動の動画をご覧いただけます)
日本ジェネティクスによるアプリケーションノート
「TASCLを用いた、がん幹細胞の幹細胞性の評価方法」 (関西医科大学 生理学講座 林 美樹夫先生)






