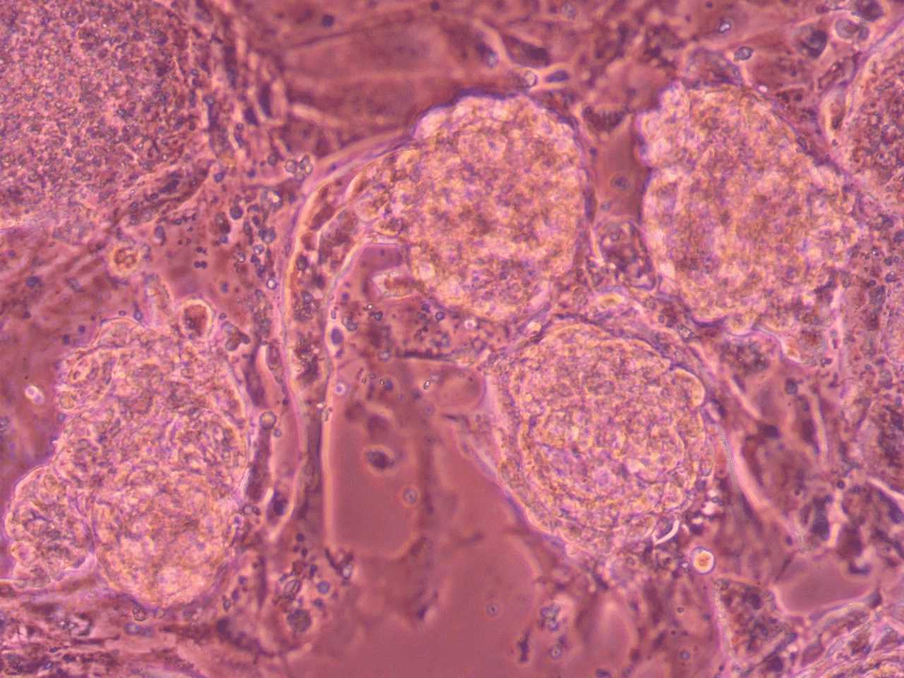
細胞塊とは?
2.臓器再生・オルガノイド培養
3.がんなどの治療法の研究
4.薬剤スクリーニング
5.培養肉の製造
弊社は細胞塊の培養デバイスの製造販売、細胞塊の加工販売、細胞塊を用いた新たな治療法の開発を手掛けています。
細胞塊の用途1.細胞塊を用いた移植治療
昨今、整形外科や美容皮膚科を中心に、自家間葉系幹細胞を用いた移植治療が多くの医療施設で行われています。
幹細胞の細胞単体に比べて、幹細胞が数千個凝集した幹細胞塊の方が、サイトカイン、エクソソームや成長因子が多く産出されるため、移植した際の治療効果が高いのではないかと考えられています。
膝関節への幹細胞塊移植と幹細胞移植を比較した臨床研究によると、
幹細胞塊の方が炎症が抑えられていることが示唆されています。
なお、弊社は自前の細胞加工施設を持たない医療施設に対して、幹細胞塊の加工を行う細胞加工施設をコーディネートすることができます。
細胞塊の用途2.臓器再生・オルガノイド培養
昨今、世界中の研究機関で臓器再生やミニ臓器と言われるオルガノイドの研究が進められています。国内の研究事例の一部だけでも、下図のような研究事例があります。弊社も大学による膵島再生や半月板再生などの研究に協力させていただいております。
臓器を再生する際には、臓器によって名称は異なりますが、細胞を凝集させた塊、すなわち細胞塊を作り、分化誘導を進めて、臓器の機能を備えたオルガノイドの状態にする手法がとられます。
弊社の細胞塊培養デバイスや細胞塊培養技術が、これらオルガノイド培養、臓器再生の研究の一助になれば幸いです。
細胞塊の用途3.がんなどの治療法の研究
特にがん治療の研究において、特定のがん細胞のスフェロイド(細胞塊)をつくり、その機能を確認したり、薬剤の反応を確認することなどが行われています。
弊社の細胞塊培養デバイスTASCLや細胞塊培養技術が、このような研究の一助になると幸いです。
実験医学別冊「患者由来がんモデルを用いたがん研究実践ガイド」に「TASCLを用いたがんスフェロイドの形成プロトコル」の記事が掲載されています。
なお、参考までにTASCLを用いたがん幹細胞の評価に関するアプリケーションノートも紹介されています。
(参考)日本ジェネティクスによるアプリケーションノート「TASCLを用いた、がん幹細胞の幹細胞性の評価方法」
(関西医科大学 生理学講座 林 美樹夫先生)https://www.n-genetics.com/application/search/?order_by=&keywords=TASCL
細胞塊の用途4.薬剤等のスクリーニング
医薬品や化学薬品などのスクリーニングテストにおいて、従来は平面・2次元で培養した細胞が用いられていましたが、三次元培養による細胞塊の方が体内環境に近いため、よりよい検査結果が得られるというデータもあります。今後は細胞塊を用いたスクリーニングテストが行われることが期待されます。
細胞塊の用途5.培養肉の製造
昨今、持続可能性の観点から培養肉が注目されており、研究開発および商品化が急速に進むと予想されます。細胞塊は培養肉の製造に応用できる可能性があります。
細胞塊・スフェロイドの培養・三次元細胞培養
細胞の三次元培養によりスフェロイド・細胞塊を培養する方法としては、次のような方法があります。
・ハンギングドロップ法
・スキャフォールドを用いた培養
・浮遊培養
・マイクロプレート(TASCL以外)を用いた培養
・TASCLを用いた培養
・ハンギングドロップ法
シャーレの蓋などに培養液を吊り下げて、培養液の液滴の底部でスフェロイド・細胞塊の培養を行うものです。しかしハンギングドロップ法は技術が必要で、手間もかかり、スフェロイド・細胞塊を大量培養するには向きません。また培養される細胞塊の大きさは不均一です。
・スキャフォールドを用いた培養
スキャフォールドとは細胞が凝集するための足場材のことです。様々なスキャフォールドがあり、培養方法も様々です。一般に、スフェロイド・細胞塊を、スキャフォールドごと用いる場合や、スキャフォールドによりスフェロイド・細胞塊に影響を与えようとする場合は、有効な方法と言えます。しかし、スフェロイド・細胞塊をスキャフォールドから取り除いて用いる場合には、スキャフォールドによっては、異物の混入リスクや細胞にダメージを与えるリスクがあり、細胞の品質に支障が生じる可能性があります。
・浮遊培養
培養液が入った容器の中で細胞を浮遊させて、容器を回転させることで培養液を循環させて、スフェロイド・細胞塊を凝集させて培養する方法です。手間がかからず、効率的に多くのスフェロイド・細胞塊を培養できるメリットがあります。しかしながら、スフェロイド・細胞塊の大きさ・形状・品質は不均一となります。
・マイクロプレート(TASCL以外)を用いた培養
スフェロイド・細胞塊を培養できるマイクロプレートは複数の種類が市販されています。しかしながらマイクロウェルは培地交換が難しく、培地交換の際に細胞が流れ出てしまうリスクがあります。また、培地がマイクロウェル内にとどまるために、同じ器材では細胞を数日程度しか培養できません。また、マイクロウェルの大きさ・形状が均一でないマイクロプレートもあり、その場合は、培養したスフェロイド・細胞塊の大きさ・形状も不均一となります。
・TASCLを用いた培養
三次元培養マイクロプレートTASCL
TASCLと他の三次元培養マイクロプレートの比較
これらの理由から、TASCLはスフェロイド・細胞塊培養に適したマイクロプレートだと言えます。

